- 18
- 0
7 июня НАШ ДРУГ ПОПАЛ В АВАРИЮ.Валерий Буянов, многие из вас могут его знать.. Парашютист, мотоциклист и хороший человек.
Он из Тулы, ехал на мотоцикле, когда водитель авто не посмотрев в зеркала решил развернуться...
http://maps.yandex.ru/-/CVV-zQzf
Валера Буянов: "Ехал правее от белой сплошной полосы где-то на расстоянии пол-метра, три ряда встречки стояли в пробке, кому-то надоело стоять, и он решил развернуться. На эксперименте потом мот было видно в дождь за 260 метров, а он меня не заметил и вывернул метров примерно за 15 до меня...у меня 11 метров тормозного пути по следу, и за тем удар ему в бок-зад.. дальше мот по дороге едет на боку, а я лечу в свободном полете под встречный, благо стоячий кашкай, шлемом разбиваю ему бампер и залетаю под него целиком. А нога ломается, потому что в момент торможения мот немного пошел в занос и нога попала между мотом и машиной. Как то так..."
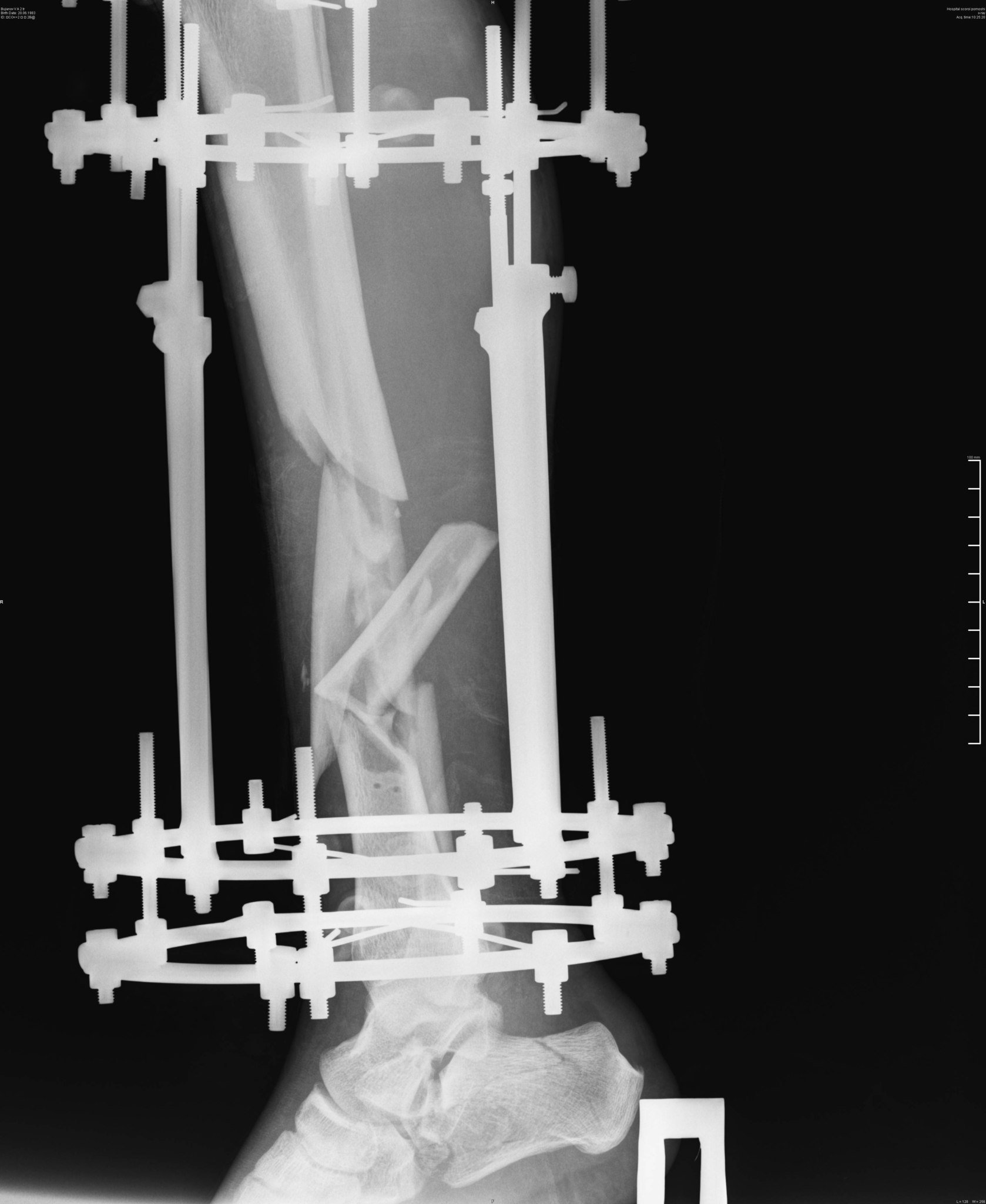
Эпикриз: Сочетанная травма. ЗЧМТ. Сотрясение головного мозга. Открытый многооскольчатый перелом обеих костей с/3 правой голени со смещением отломков. Открытый многооскольчатый перелом пяточной, ладьевидной, кубовидной кости, подвывих пяточной кости. Обширные рваные раны области правой стопы, правой голени.
было это еще 7 июня, но до сих пор, по прошествии двух операций ему не собрали все кости. Оказалосьь, что одну кость забыли на месте ДТП и теперь вместо нее требуется имплант. На одной ноге у него сейчас 18 переломов и 3 из них гниют, один из кусков кости встал поперёк, врачи опасаются её доставать или разворачивать, ибо можно занести ещё больше инфекции, если делать, то надо делать сразу всё комплексно, а пока приходится постоянно чистить, чтоб не было заражения, никакие обезболивающие уже не помогают, организм уже к ним адаптировался, и приходится терпеть эти боли. Нам же остается только медленно собирать деньги.
Сначала говорили про 250 т.р и 3 операции, но после поездки в Москву, в институт травматологии, сказали, что требуется не менее 500 т.р. только на 6 операций не учитывая восстановления сухожилий, кровообращения или как его там правильно + аппарат Элизарова на 3 года, а вообще предложили стопу ампутировать.
В общем, целый месяц прошел, он все молчал, не говорил, что там за ситуация, только недавно стали собирать ему деньги, на одну карту насобирали (что–то в районе 10т.р.) на вторую только начали.
В принципе, ему страховая должна была выплатить какую–то сумму за мотоцикл, но гражданин водитель, отказался признавать свою вину и сейчас по этому делу идет суд, страховая не выплачивает ничего, ждет решения суда.
Узнаем сейчас стоимость вопроса в Мюнхене, передали туда все заключения и рентгены, ждем ответа, но по цене, говорят будет примерно то же.
Заранее поклон всем откликнувшимся
ВАЛЕРА БУЯНОВ: vk.com/kot_men
Реквизиты, фото до аварии, с места аварии, после аварии, эпикриз, заключение ЦИТО, фото с перевязки, ежедневный отчет о собранных деньгах: help-valera.jimdo.com
Здесь люди, которые пытаются помочь (группа вконтакте) :vk.com/valera_help
PS: пока не разобралась, как можно прикрепить к сообщению больше фото
Он из Тулы, ехал на мотоцикле, когда водитель авто не посмотрев в зеркала решил развернуться...
http://maps.yandex.ru/-/CVV-zQzf
Валера Буянов: "Ехал правее от белой сплошной полосы где-то на расстоянии пол-метра, три ряда встречки стояли в пробке, кому-то надоело стоять, и он решил развернуться. На эксперименте потом мот было видно в дождь за 260 метров, а он меня не заметил и вывернул метров примерно за 15 до меня...у меня 11 метров тормозного пути по следу, и за тем удар ему в бок-зад.. дальше мот по дороге едет на боку, а я лечу в свободном полете под встречный, благо стоячий кашкай, шлемом разбиваю ему бампер и залетаю под него целиком. А нога ломается, потому что в момент торможения мот немного пошел в занос и нога попала между мотом и машиной. Как то так..."
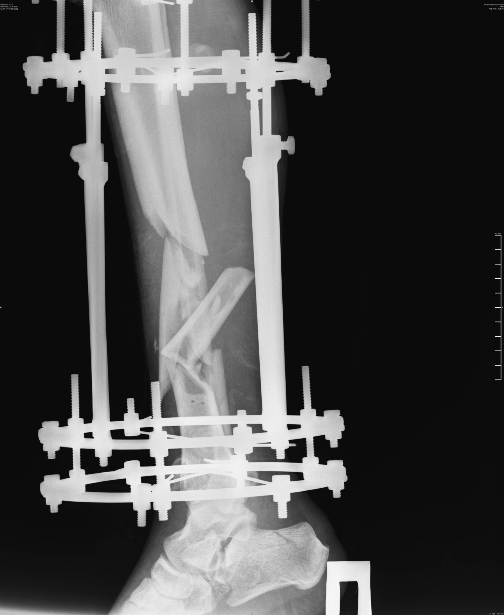
Эпикриз: Сочетанная травма. ЗЧМТ. Сотрясение головного мозга. Открытый многооскольчатый перелом обеих костей с/3 правой голени со смещением отломков. Открытый многооскольчатый перелом пяточной, ладьевидной, кубовидной кости, подвывих пяточной кости. Обширные рваные раны области правой стопы, правой голени.
было это еще 7 июня, но до сих пор, по прошествии двух операций ему не собрали все кости. Оказалосьь, что одну кость забыли на месте ДТП и теперь вместо нее требуется имплант. На одной ноге у него сейчас 18 переломов и 3 из них гниют, один из кусков кости встал поперёк, врачи опасаются её доставать или разворачивать, ибо можно занести ещё больше инфекции, если делать, то надо делать сразу всё комплексно, а пока приходится постоянно чистить, чтоб не было заражения, никакие обезболивающие уже не помогают, организм уже к ним адаптировался, и приходится терпеть эти боли. Нам же остается только медленно собирать деньги.
Сначала говорили про 250 т.р и 3 операции, но после поездки в Москву, в институт травматологии, сказали, что требуется не менее 500 т.р. только на 6 операций не учитывая восстановления сухожилий, кровообращения или как его там правильно + аппарат Элизарова на 3 года, а вообще предложили стопу ампутировать.
В общем, целый месяц прошел, он все молчал, не говорил, что там за ситуация, только недавно стали собирать ему деньги, на одну карту насобирали (что–то в районе 10т.р.) на вторую только начали.
В принципе, ему страховая должна была выплатить какую–то сумму за мотоцикл, но гражданин водитель, отказался признавать свою вину и сейчас по этому делу идет суд, страховая не выплачивает ничего, ждет решения суда.
Узнаем сейчас стоимость вопроса в Мюнхене, передали туда все заключения и рентгены, ждем ответа, но по цене, говорят будет примерно то же.
Заранее поклон всем откликнувшимся
ВАЛЕРА БУЯНОВ: vk.com/kot_men
Реквизиты, фото до аварии, с места аварии, после аварии, эпикриз, заключение ЦИТО, фото с перевязки, ежедневный отчет о собранных деньгах: help-valera.jimdo.com
Здесь люди, которые пытаются помочь (группа вконтакте) :vk.com/valera_help
PS: пока не разобралась, как можно прикрепить к сообщению больше фото
Вложения
Последнее редактирование: