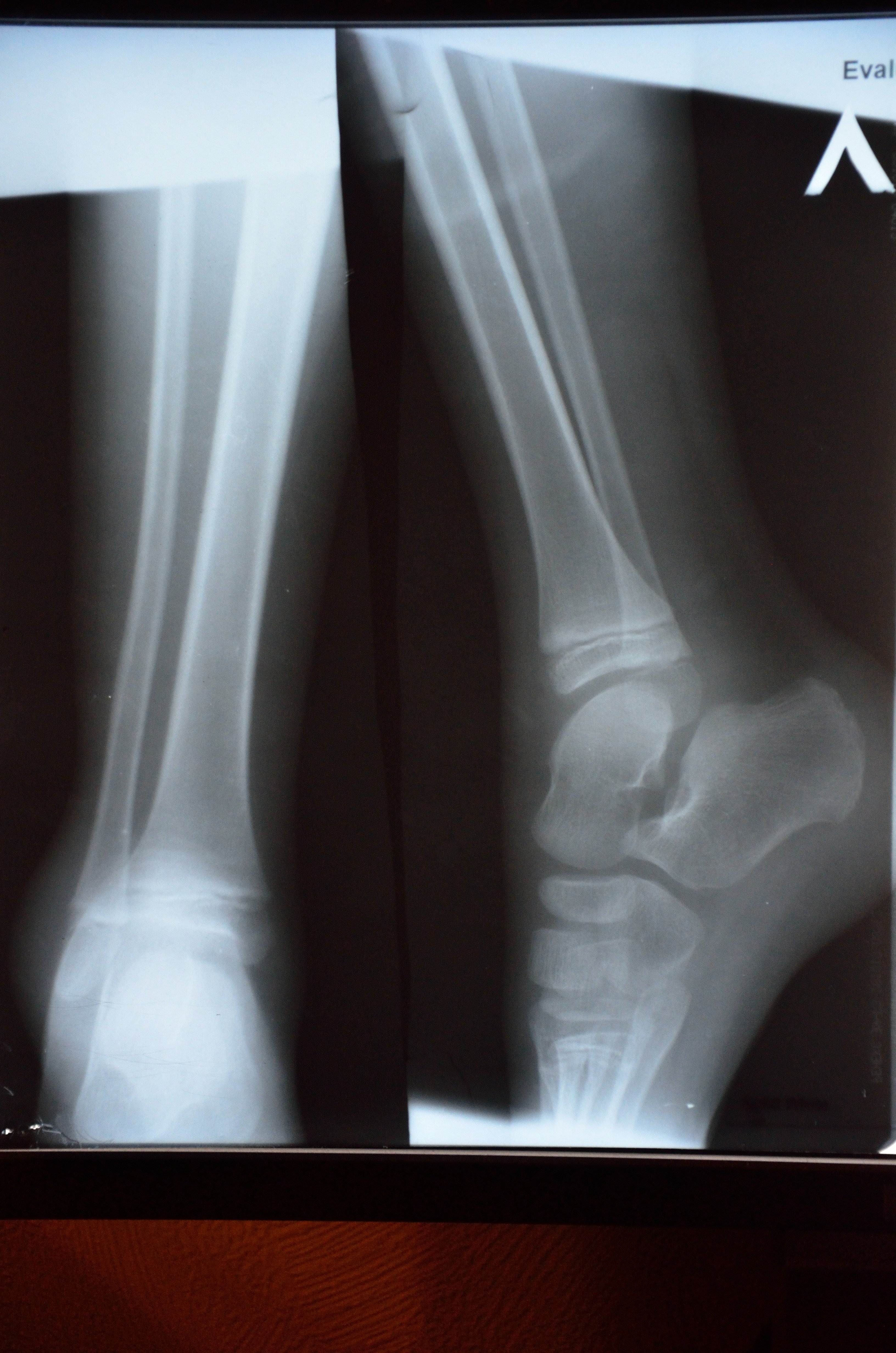
Травма голеностопа. Ребёнок 7 лет

alex_LT

Активный участник
554
0
Москва, Тушино
  1. BMW K 1200 LT
Требуется помощь. Ребенок в деревне, врачей нет. Снимок кое-как сделали, наложили гипс. Есть ли специалисты, понимающие в снимках детских костей? К спецам по взрослым костям уже обращались.

- - - Добавлено - - -

ПыСы. Сорри за размерчик фотки :pardon:
 

Вложения

  • DSC_4989.JPG
    DSC_4989.JPG
    1.8 MB · Просмотры: 734